U riječkoj je bolnici prvi put u Hrvatskoj uspješno apliciran toksin botulinuma u liječenju spazmodične disfonije kod dviju pacijentica (iz Slavonskog Broda i Rijeke) zahvaljujući suradnji Zavoda za audiologiju i fonijatriju i Klinike za neurologiju KBC-a Rijeka. Dosad su se pacijenti na ovakve zahvate slali u Univerzitetski centar u Ljubljanu, u kojem su i educirani riječki stručnjaci.
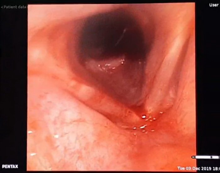
Postupak aplikacije botoksa u glasnice izveden je pod kontrolom EMNG-a. U izvođenju zahvata sudjelovale su predstojnica Zavoda za audiologiju i fonijatriju prim. mr. sc. Tatjana Šepić, fonokirurginja dr. Dijana Maržić i glavna sestra Astrid Rodin, te predstojnica Klinike za neurologiju doc. dr. Vladimira Vuletić, dr. Barbara Zadković i glavna sestra Sanja Milinković.
Spazmodična disfonija, znana i kao laringealna distonija, poteškoća je u govoru zbog protrahiranog spazma mišića koji kontroliraju glasnice. Radi se o fokalnoj distoniji koja pripada bolestima pokreta. Točan uzrok spazmodične disfonije nije poznat. Većina slučajeva proizlazi iz problema u dijelovima mozga (bazalni gangliji) koji kontroliraju pokret te nastanu nevoljne kretnje mišića (spazam) koji mogu utjecati na glas. Vokalni mišići u spazmu uzrokuju da se glasnice previše približe ili su previše udaljene dok osoba koristi svoj glas. To svakako narušava govorne sposobnosti oboljelih, njihov posao i kvalitetu života. Osobe se izoliraju i smanje socijalne kontakte. Bolest zahvaća više žene i češća je u dobi od 30. do 50. godine života.
Multidisciplinaran zahvat
Dijagnoza i liječenje je multidisciplinarno. Liječenje može samo smanjiti simptome. Zato se i koristi toksin botulinuma u malim dozama kako bi olakšao tegobe, tj. spazam mišića. Botoks se u glasnice ugrađuje kad pacijent ima nepomičnu glasnicu i ima prostora između glasnica, što rezultira šumnim glasom koji je promukao i nerazgovijetan. To je, nažalost, postupak koji se mora ponavljati radi prolaznog efekta botoksa.
Toksin botulinuma uglavnom se ugrađuje kako bi se pojačala masa glasnice tako da zdrava glasnica dotiče bolesnu i na taj se način pacijentu vraća glas. Pacijenti su izuzetno zadovoljni rezultatima jer se njihovom glasu vraća funkcija.
“S neurolozima surađujemo jer se kod ekstrapiramidalnih poremećaja također ugrađuje botoks kako bi se glasnica opustila i kako bi se pacijentima olakšao govor. Zahvat se provodi u lokalnoj anesteziji pod kontrolom ultrazvuka”, ističe predstojnica dr. Tatjana Šepić.
Podijeli na društvenim mrežama